Associação BAOT KOL
Michael Seldkov Sep 01, 2022

Michail Seldkov da República da Lituânia.

  • Mestre há mais de 25 anos
  • Fundador do primeiro laboratório privado na Bielorrússia.
  • Proprietário do laboratório digital “IQ ProLab” na Lituânia

Ele é um excelente técnico em prótese dentária e um ótimo tutor que dá aulas maravilhosas para iniciantes no BAOT.

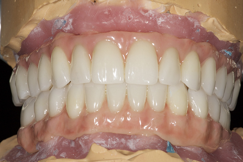
Apreciação das obras de Michail Seldkov

Pó de porcelana de material de laboratório dentário

Pó de porcelana de material de laboratório dentário PFZ

biomaterial dental cerâmica porcelana

pó cerâmico dental para laboratório dentário

Deixe um recado

Deixe um recado
se você tiver dúvidas ou sugestões,por favor, deixe-nos uma mensagem,nós responderemos o mais rápido possível!

casa

produtos

whatsapp